Foot Fracture/Dislocations

Foot Fracture/Dislocations

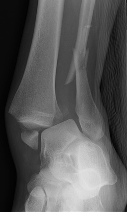
Your foot is made up of 26 small bones and more than 30 joints, all working together to provide balance and movement. A foot fracture occurs when one or more of these bones break due to trauma, stress, or overuse. A dislocation, on the other hand, happens when the bones in a joint move out of their natural alignment, usually following an accident or severe twisting injury.

Both conditions can cause significant pain, swelling, and difficulty in walking, requiring expert orthopaedic care.

Causes of Foot Fractures and Dislocations

  • Sports injuries – Running, jumping, or high-impact activities.
  • Road accidents – Heavy trauma or crushing injury to the foot.
  • Twisting or falling – Sudden missteps or falls.
  • Stress fractures – Repeated strain from long-distance running or training.
  • Osteoporosis or weak bones – Increased risk of fractures.
Image

Common Symptoms

  • Sudden and severe pain in the foot.
  • Swelling, redness, and bruising.
  • Difficulty or inability to walk or put weight on the foot.
  • Visible deformity (in dislocations or severe fractures).
  • Tenderness when touching the affected area.
  • Numbness or tingling in severe cases.

Diagnosis at Delhi Foot

To ensure the right treatment, our specialists use advanced diagnostic methods:

  • X-rays – To identify broken or misaligned bones.
  • CT Scan / MRI – For complex fractures or to check ligament involvement.

Treatment Options for Foot Fractures & Dislocations

Non-Surgical Treatments (Mild Cases)

  • Rest, ice therapy, and elevation to reduce swelling.
  • Use of casts, splints, or braces to immobilize the foot.
  • Pain management with prescribed medications.
  • Gradual return to activity under medical supervision.

Surgical Treatments (Severe Cases)

  • Open Reduction and Internal Fixation (ORIF): Bones are realigned and stabilized with plates, screws, or pins.
  • External Fixation: Temporary support for complex fractures or when swelling is too high for immediate surgery.
  • Joint Realignment: For dislocations, bones are carefully repositioned to restore proper alignment.

Recovery & Rehabilitation

  • Healing time: 6–12 weeks depending on severity.
  • Physiotherapy: Exercises to restore strength, flexibility, and balance.
  • Gradual weight-bearing: Introduced as healing progresses.
  • Return to activities: Sports and heavy movements only after complete bone and joint recovery.

Why Choose Delhi Foot for Foot Fracture & Dislocation Care?

  • Expert orthopaedic surgeons specializing in foot & ankle injuries.
  • Comprehensive diagnostic and surgical facilities under one roof.
  • Tailored treatment plans for quick recovery.
  • Integrated rehabilitation and physiotherapy support.
  • Patient-focused approach to restore mobility and long-term foot health.